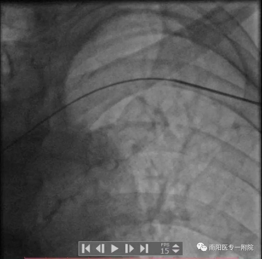
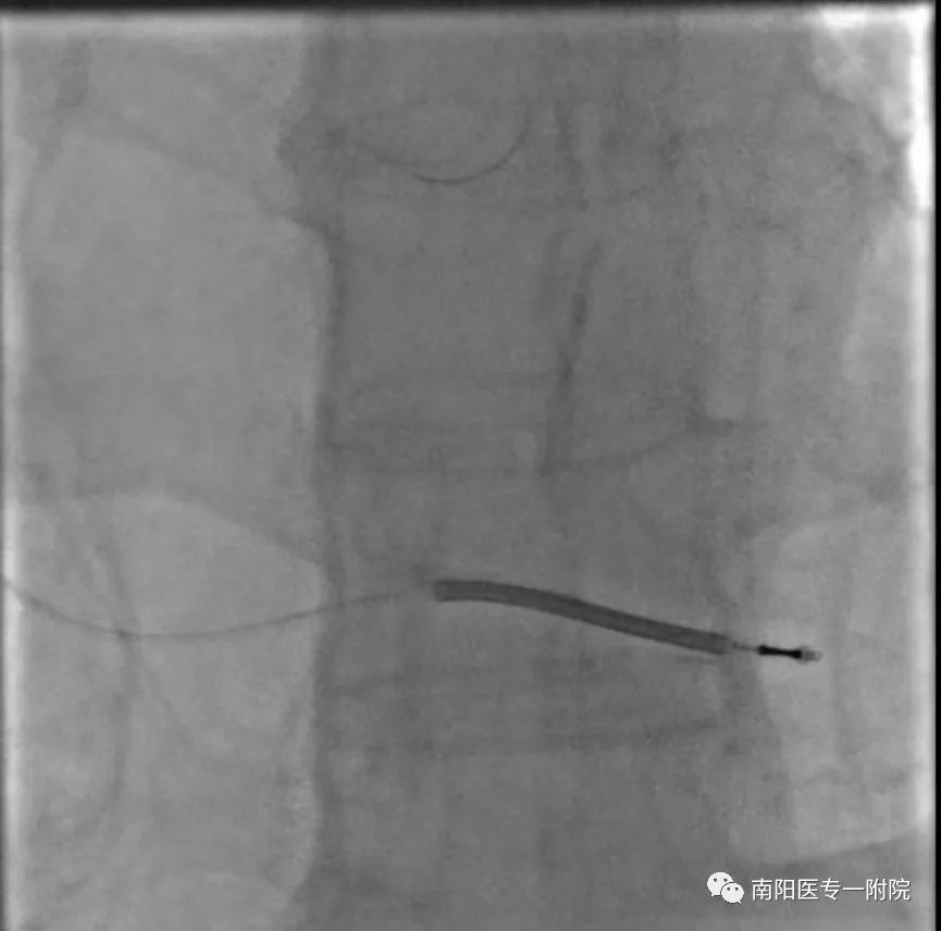
3月17日下午南阳医专一附院心内三团队为86岁高龄反复室速老爷子顺利完成埋藏式心脏除颤装置ICD植入,入院后经冠脉造影明确冠脉情况后,排除冠脉因素,经腋静脉穿刺植入除颤电极,分离胸大肌,除颤装置植入深部肌肉层,采用无创缝合切口!





手术历时1个半小时顺利结束!此次高龄高危病人ICD植入手术的顺利实施再次展现了我院治疗心律失常疾病的实力!(张庆普)
电话:63328777 急救电话:0377-63152222
门诊办电话:0377-63328323 投诉电话:63328777
网站管理电话:0377-63328055
投诉邮箱:yhb8239@163.com
网址:http://www.nyyfy.com
地址:河南省南阳市车站南路46号(中州路与车站路交叉口)
关注我们
南阳政务app
2008-2021 All Rights Reserved 南阳医学高等专科学校第一附属医院
豫卫网审【2015】第009号