英文馆
|
中文馆
电子图书馆:
您的位置: 首页 > 特色医疗> 微创专题

微创专题

查看更多>>
我院成功实施首例人工血管置换联合恶性肿瘤及血管切除术
时间:2018-07-19   来源: 南阳医专一附院
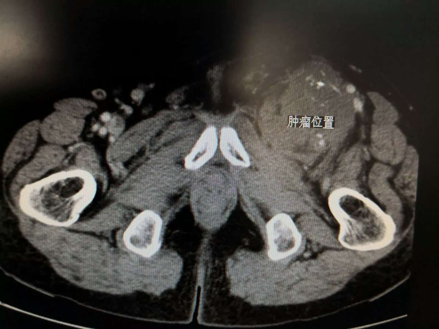
近日,我院普通外科三病区联合麻醉科手术部成功实施我院首例人工血管置换联合恶性肿瘤及血管切除术。术后,患者身体状况良好。这名复发的软组织肉瘤患者不久前由外院转入我院要求手术治疗。
        原来1年前,该患者在当地医院行手术治疗,术后病理为恶性外周神经鞘膜瘤。患者入院时查体显示:左下肢高度肿胀,左侧腹股沟区可扪及一直径约8.0cm的质硬肿物,边界不清,活动度差,足背动脉搏动可,考虑软组织肉瘤侵及重要血管导致静脉回流障碍。我院普外三科延学军主任医师团队接诊后对患者病情经过反复讨论、评估,认为二次手术难度大,治疗比较棘手,实施截肢手术患者难以接受,但放弃手术,患者病情会很快恶化。经过缜密充分的术前准备,患者于近日成功实施了血管重建联合肢体软组织肉瘤及受累大血管切除术。
        为降低软组织肉瘤的复发率,手术切除在“正常组织内”进行,切除肿瘤、假包膜及周围一定范围的正常组织,尽量避免暴露肿瘤组织。手术难度在于血管为肉瘤所包裹而无法分离,术前拟行动静脉血管同时置换,幸运的是术中该患者股动脉自肿瘤成功剥离,但股静脉已闭塞,腔内癌栓形成,决定将肿瘤内的股静脉连同肿瘤一并切除。手术完整切除肿瘤,并切除股静脉长度约13㎝,股静脉血流通过人工血管置换建立,保存了患者肢体功能。
        天然血管内皮层在抗血栓形成、抑制血小板聚集、分泌血管活性因子等方面发挥着重要作用,血管的通畅率较高,但实施自体大隐静脉血管移植存在口径偏小的弊端,因此我们选用人工血管进行置换。患者术后左下肢肿胀明显减轻,肢体功能正常,行下肢血管彩超检查血流通畅。
        人工血管置换联合恶性肿瘤及血管切除术在我院是首例,该手术的成功实施,为涉及侵犯大血管的恶性肿瘤切除提供一个思路,给患者的有效治疗提供了机会。我院普外三科技术力量雄厚,对疑难复杂病例的诊治积累了丰富的经验。欢迎就诊,欢迎咨询!咨询电话0377-63328036。


相关知识链接:
        软组织是指机体非上皮性的骨外组织,软组织肉瘤具有局部侵袭性、呈浸润性或破坏性生长、可局部复发和远处转移等特点,其5年生存率约60%~80%,约60%发生于肢体部位,以多形性未分化肉瘤、脂肪肉瘤、平滑肌肉瘤、滑膜肉瘤、恶性周围神经鞘膜瘤多见。软组织肉瘤治疗通常采用以手术为主的综合治疗模式,通过手术彻底切除肿瘤是防止软组织肉瘤复发和转移的关键措施,手术方式通常分为保肢和截肢。八十年代以前,约有一半的肢体软组织肉瘤采取截肢手术,随着技术的进步以及多种辅助治疗(放化疗及靶向治疗等)的开展,截肢率也下降到5%~10%,对于严重侵犯骨组织者,大部分患者需截肢治疗。近年来,以肿瘤多学科综合治疗的模式为主导理念,以控制肿瘤、保存肢体、功能重建、提高生活质量为治疗核心,软组织肉瘤的治疗取得了很大进展,明显地改善了患者的生存质量。

电话:63328777 急救电话:0377-63152222

门诊办电话:0377-63328323 投诉电话:63328777

网站管理电话:0377-63328055

投诉邮箱:yhb8239@163.com

网址:http://www.nyyfy.com

地址:河南省南阳市车站南路46号(中州路与车站路交叉口)

关注我们

南阳政务app

2008-2021 All Rights Reserved 南阳医学高等专科学校第一附属医院

信息产业部ICP备案:豫ICP备12013916号-4

豫卫网审【2015】第009号