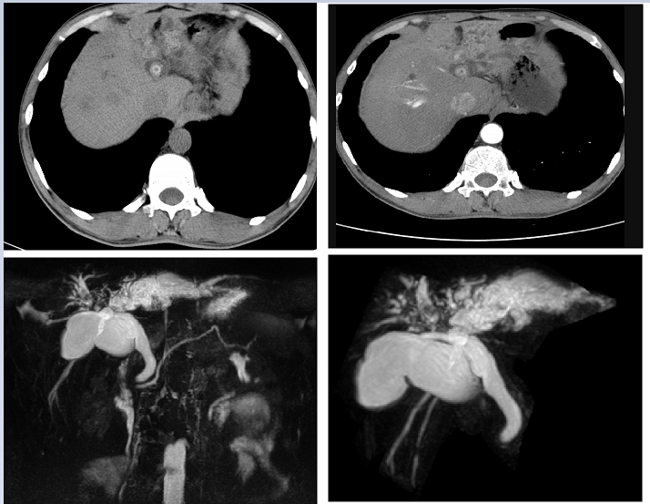
肝内胆管结石是我国常见而难治的胆道疾病,术后结石残留率在20%-40%之间。手术难度大,治疗比较棘手。近期,我院普外三科延学军团队收治一复杂肝内胆管结石病人,该病人以“间断右上腹部胀痛不适10年余”为主诉入院。该病人长期一直按胃病治疗,近2年来,症状加重,才引起重视。辗转多家医院,均因病情复杂,建议转院治疗。(该病人入院后相关检查结果如下:)

肝内胆管结石病因复杂,主要与胆道感染、胆汁停滞、胆管解剖变异、营养不良等有关。结石绝大多数为含有细菌的棕色胆色素结石,常呈肝段、肝叶分布,多见于肝左外叶及右后叶,与此两肝叶的肝管与肝总管汇合的解剖关系致胆汁引流不畅有关。肝内胆管结石易进入胆总管并发肝外胆管结石。
肝内胆管结石病理改变有:①肝胆管梗阻:可由结石的阻塞或反复胆管感染引起的炎性狭窄造成,阻塞近段的胆管扩张、充满结石,长时间的梗阻导致梗阻以上的肝段或肝叶纤维化和萎缩,如大面积的胆管梗阻醉终引起胆汁性肝硬化及门静脉高压症。②肝内胆管炎:结石导致胆汁引流不畅,容易引起胆管内感染,反复感染加重胆管的炎症狭窄;急性感染可发生化脓性胆管炎、肝脓肿、全身脓毒症、胆道出血。③肝胆管癌:肝胆管长期受结石、炎症及胆汁中致癌物质的刺激,可发生癌变。

相关链接:我院普外三科在微创治疗肝内外结石方面,技术力量雄厚,尤其擅长复杂胆道肝脏胰腺手术的处理。开展业务醉早、新技术新业务引进醉早,临床经验丰富,在豫西南有较高的口碑。欢迎咨询、欢迎就诊!
车站路与中州路交叉口南阳医专一附院外科楼三楼西区普通外科三病区
咨询电话:0377-63328036 13838717020
电话:63328777 急救电话:0377-63152222
门诊办电话:0377-63328323 投诉电话:63328777
网站管理电话:0377-63328055
投诉邮箱:yhb8239@163.com
网址:http://www.nyyfy.com
地址:河南省南阳市车站南路46号(中州路与车站路交叉口)
关注我们
南阳政务app
2008-2021 All Rights Reserved 南阳医学高等专科学校第一附属医院
豫卫网审【2015】第009号