胸背疼痛寻常见,误诊漏诊险丢命,风雪严寒路难行,就诊医专捡条命。
几天前我市迎来今冬第二场大雪,家住卧龙区某镇70高龄的王老伯在家铲雪,突然出现胸背部疼痛,逐渐出现腰疼,自认为扭腰了,在家休息到第二天仍感疼痛,就到镇卫生院就诊,怀疑腰扭伤,行腰椎CT检查提示腰椎间盘膨出,给予活血化瘀药物,王老伯仍觉症状不见减轻,又拍胸片提示气管右移,纵膈稍增宽待查,再行胸部CT进一步检查,提示纵膈占位、左侧肺不张、胸腔积液、支气管炎,怀疑是肿瘤肿块,晚上出现声音嘶哑的表现。


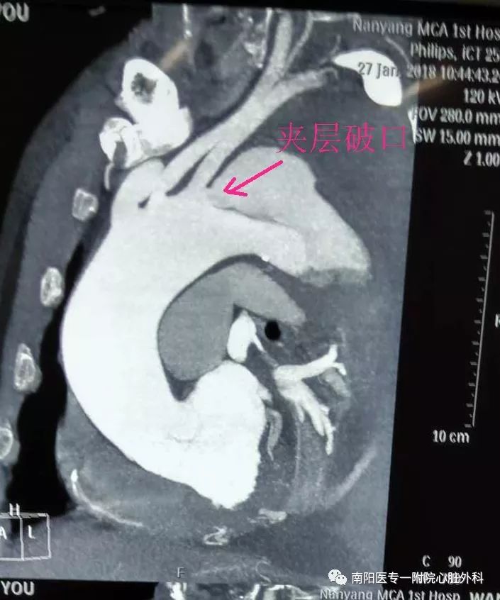
第三天来到我院胸外科住院,我科会诊时发现:患者突发胸背部疼痛,纵膈增宽,气管向右侧移位,声音嘶哑,胸腔积液,CT片上隐约可见降主动脉出现真假腔,高度怀疑主动脉夹层。

立即行CTA,明确诊断为Stanford B 型主动脉夹层,破口位于左锁骨下动脉根部,并且主动脉弓部明显增宽,左侧胸腔大量积液。此种情况非常危险,为主动脉夹层濒临破裂的征象,随时有发生破裂死亡的可能。




由于患者主动脉弓支架锚定区直径近36mm,需要大型号的支架,整个南阳市内没有,经联系只有郑州有,大雪封路,没有班车及快递,马上启动应急预案,连夜从郑州坐火车把支架运回,在住院第二天上午急诊手术,行腋腋动脉转流+主动脉覆膜支架植入+左锁骨下动脉弹簧圈封堵术,术后患者恢复顺利。



随着天气转冷,主动脉夹层的发病率明显上升,特别是对于患有严重高血压,不能良好的药物控制,极易发生该病。
主动脉夹层(aortic dissection)是由于各种原因导致的主动脉内膜、中膜撕裂,主动脉内膜和中膜分离,血液流入,导致主动脉腔被分隔为真腔和假腔。典型的主动脉夹层可以见到位于真、假腔之间的分隔或内膜片。
常见分型为DeBakey分型和Stanford分型

自然预后很差,未经治疗的A型夹层24h内,病死率每小时增加1-2%,1周内超70%死亡,B型夹层2周内病死率6.4%,药物治疗的5年存活率60%。
死亡主要原因:主动脉破裂、急性心包压塞、卒中、腹腔脏器缺血、肢体缺血等。
临床表现主要有:突发胸背部撕裂样疼痛、心脏并发症表现、其他脏器灌注不良表现。病情具有多样性,复杂性,易漏诊,易误诊。有下表中的情况时要高度怀疑主动脉夹层。
| 高危病史 | 高危胸痛症状 | 高危体征 |
| 1.Marfan综合征等结缔组织病 2.主动脉疾病家族史 3.已知的主动脉瓣疾病 4.已知的胸主动脉瘤 5.曾行主动脉介入或外科操作 | 1.突发疼痛 2.剧烈疼痛,难以忍受 3.撕裂样、刀割样尖锐痛 4.新发主动脉瓣杂音 | 1.动脉搏动消失或无脉 2.四肢血压差异明显 3.局灶性神经功能缺失 4.低血压或休克 |
治疗原则:Stanford A型夹层已经发现均应积极手术治疗。Stanford B型夹层,药物治疗严格控制心率和血压,锚定区充足者,推荐TEVAR为治疗。

南阳医专一附院心脏外科创建于1987年,是南阳市醉早成立的心脏外科。1996年被南阳市政府命名为“南阳市心脏外科疾病研究治疗中心”。2003、2006年连续被河南省卫生厅评为“河南省医学诊治临床特色专科”。 2016年被河南省卫计委评为“河南省医学重点培育专科”。目前已发展成为豫西南综合实力醉强、规模醉大、醉具权威的心血管疾病诊疗研究中心。具有精湛的手术技巧和丰富的临床经验。对于主动脉夹层的治疗达到国内领先水平,欢迎联系诊治。联系电话:0377-63328598,15937719520
电话:63328777 急救电话:0377-63152222
门诊办电话:0377-63328323 投诉电话:63328777
网站管理电话:0377-63328055
投诉邮箱:yhb8239@163.com
网址:http://www.nyyfy.com
地址:河南省南阳市车站南路46号(中州路与车站路交叉口)
关注我们
南阳政务app
2008-2021 All Rights Reserved 南阳医学高等专科学校第一附属医院
豫卫网审【2015】第009号